More stories
-
Exploring Acupuncture Benefits For Autism Through Target Trial Emulation
Introduction The integration of modern methodologies and traditional practices in healthcare is an evolving topic that continues to gain traction. Recently, the application of target trial emulation (TTE) to evaluate acupuncture combined with rehabilitation therapy for children with autism spectrum disorder (ASD) has sparked considerable discussion. This editorial offers an opinion on this emerging research […] More
-
Legislators Weigh Alternative Approaches to Funding High Cost Medications
Examining the High-Cost Drug Funding Debate: An Opinion Editorial State legislators across the nation are currently embroiled in a heated discussion regarding the use of alternative funding programs for prescription drug benefits. These programs are designed to help manage the steep costs of expensive medications. However, they come with their own set of tricky parts, […] More
-
New Era of Accessible Family Building as Elevate Baby and Carrot Fertility Unite
Understanding the Modern Landscape of Cookies and Data Privacy The digital world is filled with tricky parts that often seem complicated, especially when it comes to how websites handle cookies and personal data. In an era where online privacy is as essential as your morning cup of coffee, the practices used by major digital brands—such […] More
-
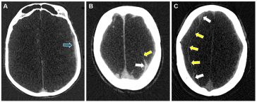
Revolutionizing Chronic Subdural Hematoma Care Through Advanced Diagnostics and Treatment
Chronic Subdural Hematoma: A Shifting Landscape in Neurosurgical Care The management of chronic subdural hematoma (CSDH) has been a topic of heated discussion in the healthcare community for many years. With an annual incidence that ranges from 1.7 to 20.6 per 100,000 people—and climbing due to an aging global population and increasing use of anticoagulant […] More
-
Understanding Menopause Kits and the Value of Clinical Diagnosis
Online Privacy and Digital Cookies: Enhancing Functionality or Invading Privacy? In today’s digital landscape, every website visitor is met with a digital disclaimer about cookies. This seemingly trivial message is a reminder that behind every click lies a network of data collection tools designed to customize your online experience. While these cookie notifications may seem […] More
-
Refining Your Aim Rediscovering Value in the Imperfection of a Pitch
Understanding Legal Restrictions on Digital Healthcare Platforms In our digital era, where information about modern medicine, alternative treatments, nutrition, disease conditions, and fitness is more accessible than ever, encountering a message such as “451: Unavailable due to legal reasons” can be both confusing and disheartening. This message, usually associated with legal blocks and privacy concerns, […] More
-
Trending
LJI scientists explore hidden dimensions in breast cancer treatment research
Innovative Advances in Breast Cancer Treatments and Reproductive Health The latest breakthroughs in immunology have sparked fresh conversations about the tangled issues behind breast cancer treatments and the hidden side of reproductive health. Recent research is shifting our understanding of how sex-based differences in the immune system play a key role in shaping therapeutic outcomes, […] More
-
India and Germany Elevate Traditional Medicine Collaboration in Berlin
Integrative Healthcare: Aligning Ancient Wisdom with Modern Practices In an era when the worlds of modern medicine and age-old healing traditions are increasingly overlapping, the recent collaboration between India and Germany in Berlin represents a promising step forward. The meeting, which was held from November 18 to November 20, 2025, brought together experts and policymakers […] More
-
Trending Hot
Unlocking the Secrets of the Placebo Effect in Traditional Chinese Medicine Nursing Trials
Understanding the Placebo Effect in Traditional Chinese Medicine Trials The modern healthcare landscape is evolving at a remarkable pace, and many experts are now taking a closer look at how traditional practices can fit into today’s treatment models. One key area that has sparked plenty of interest is the placebo effect observed in Traditional Chinese […] More
-
Inspiring Dialogue with Nyovani Madise Leading the Population Council Board
Online Security and Trust in Healthcare Websites: A Closer Look at Verification in the Digital Age The digital world of healthcare is constantly evolving. With the vast amount of patient information, research, and service data available online, ensuring security is more than just a technical necessity—it’s a responsibility. In today’s editorial, we take a closer […] More
-
Hot Popular
Tai Chi Emerges as a Natural Alternative to Talk Therapy for Insomnia Relief
Understanding the Digital Barrier: Legal Restrictions in Healthcare Content The landscape of online healthcare journalism is constantly evolving, and it is not uncommon to run into situations that block access to certain content due to legal reasons. Recently, many users have encountered a message stating, “451: Unavailable due to legal reasons.” This notice, particularly prevalent […] More
-
Hot
Sorbitol Unveiled Hidden Dangers for Liver Health
Online Verification: More Than Just a Bot Check Over the past few years, the online healthcare landscape has witnessed a surge in digital innovations. Along with these advancements comes an ever-growing need for robust security measures that protect users from various online threats. A common security verification message—“Verifying that you are not a bot”—might look […] More
-
Hot
Unlocking the Potential of Lumecca a Revolutionary IPL Treatment
Understanding Lumecca: A Modern Approach to Correcting Sun Damage The sun gives us life, but it also leaves its mark on our skin. Uneven tone, stubborn sun spots, and persistent facial redness have become common complaints for many who enjoy the outdoors. In this opinion editorial, we take a closer look at Lumecca, a high-powered […] More
-
Hot
Illuminating the Connection between Granulosa Cell Pyroptosis and Oocyte Stress
Reassessing the Cellular Puzzle in PCOS: An Opinion Editorial The world of reproductive health is filled with tricky parts and tangled issues that sometimes feel overwhelming. Recent research into the link between the death of granulosa cells—specifically through pyroptosis—and the stress experienced by oocytes due to endoplasmic reticulum (ER) disruptions has opened up a trove […] More
-
Hot
Empowering Men to Lead Family Planning on World Vasectomy Day
Reimagining Male Reproductive Health in Modern Society In recent years, the conversation about family planning has grown to include not only women but also men in a more comprehensive manner. In particular, the role of vasectomy as a safe and highly effective form of contraception has become a subject of much debate and discussion. With […] More
-
Hot
Doctors Sound Alarm Over New Medicare Wound Care Policy Threatening Patient Lives
Extreme Cold Heading for the United States: A Closer Look at the Polar Vortex Dance Recent forecasts and media reports suggest that some of Earth’s most extreme cold is on its way to the United States this December. With discussions centering on a polar vortex’s unpredictable twists and turns, it is essential to take a […] More















